Our results speak for themselves. Dr. Douglas Heller and Dr. Eric Beckman are the go-to specialists for periodontal and implant treatment in Aurora, Colorado, and can help you achieve long-lasting results that you can enjoy for years to come. We invite you to schedule an initial visit with our periodontists at Periodontal Associates to see for yourself and can do so by calling 303-755-4500.
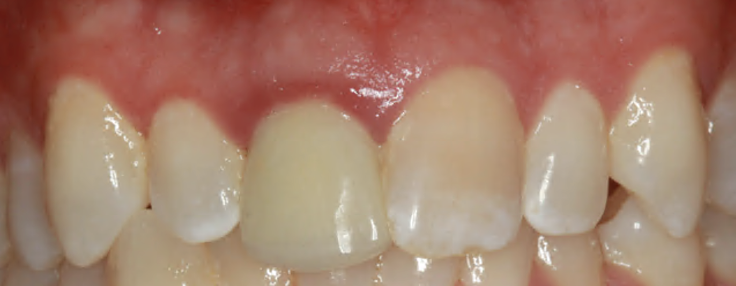
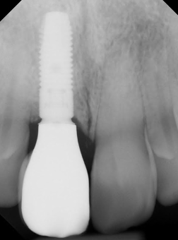
Dental Implants
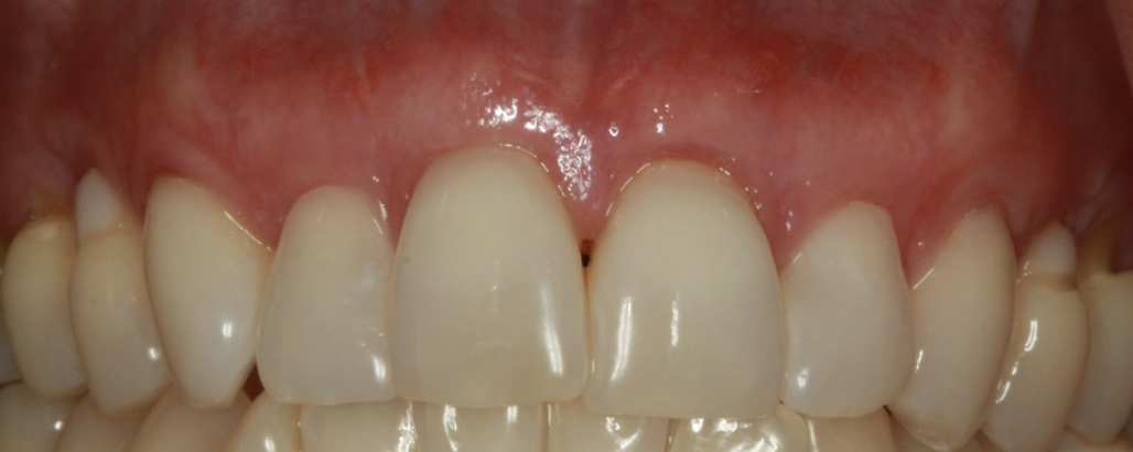
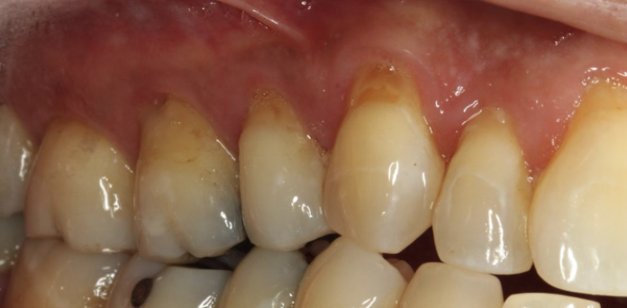
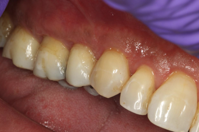
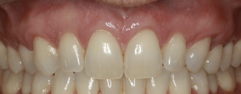
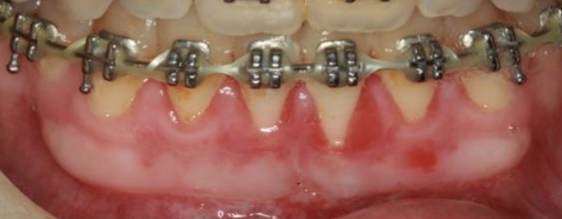
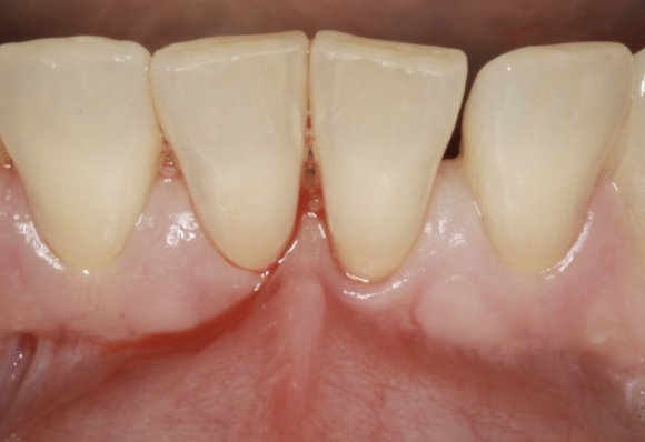
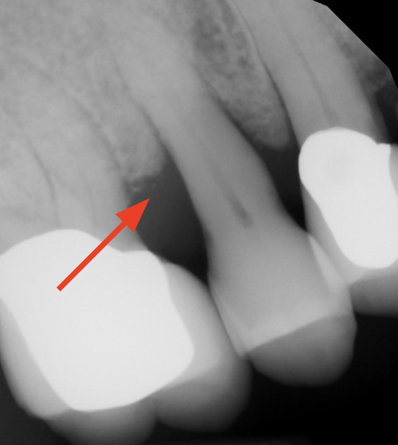
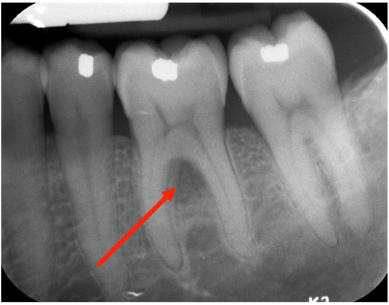
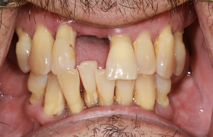
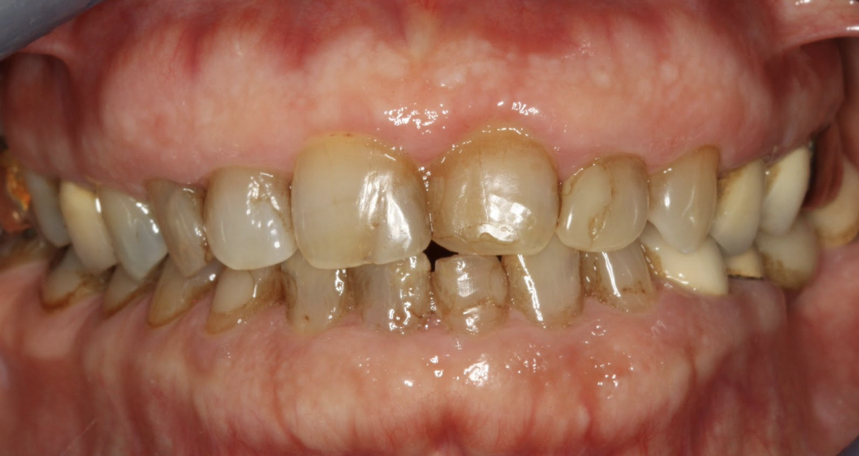
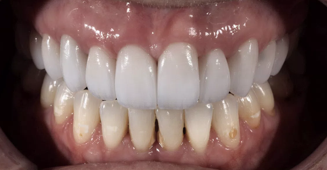
Before
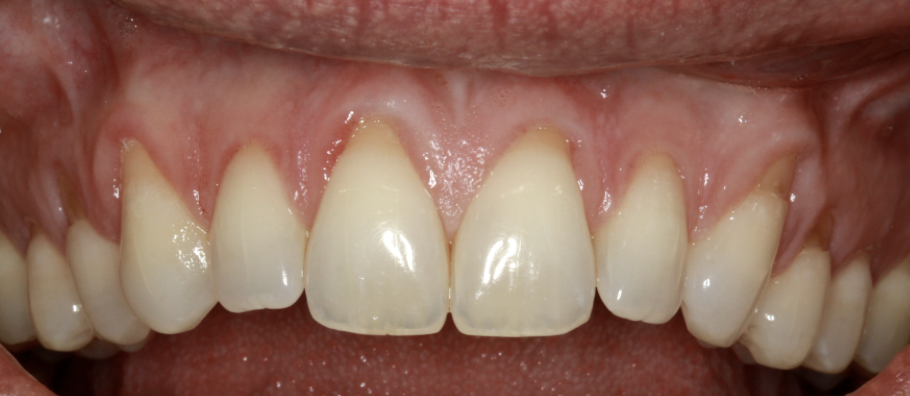
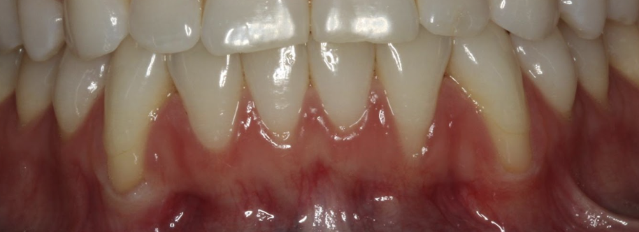
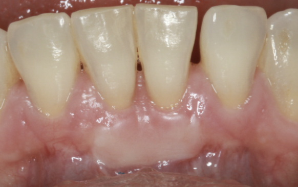
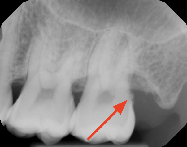
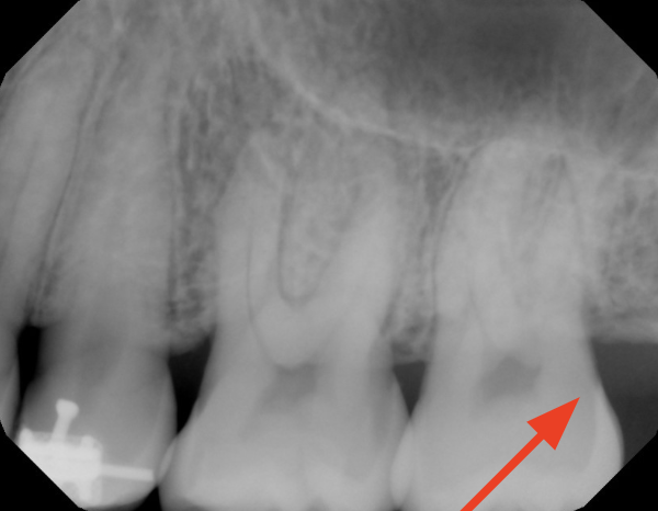
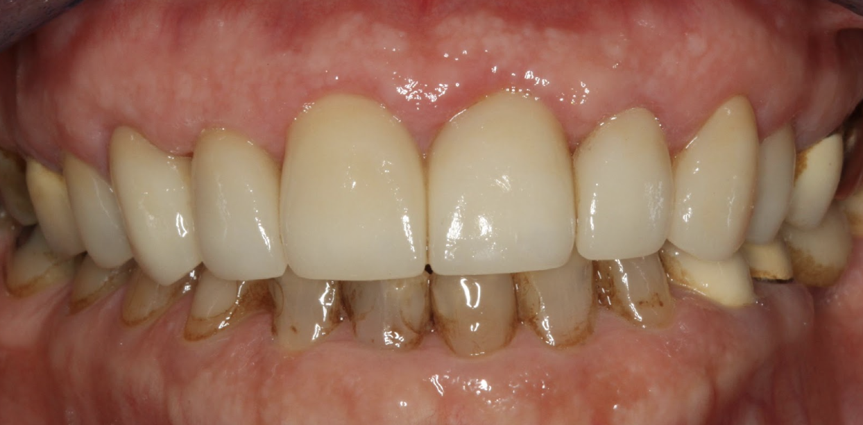
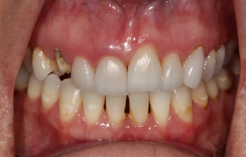
After
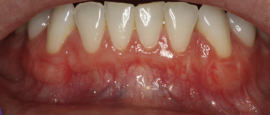
Gum Grafting
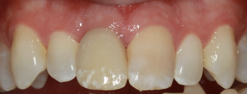
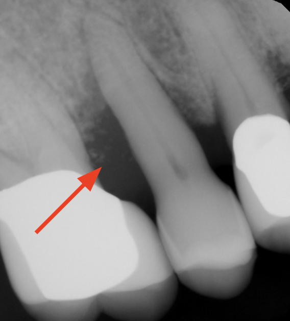
Laser for Periimplantitis
Laser Periodontal Treatment
*Single treatment
*Follow-up x-rays 9-12 months after treatment
Same Day Full Arch Rehab
*Single day treatment
Smile Makeover, Esthetic Crown Lengthening
*Single day treatment
*New crowns 2-3 months later (if needed)












































